• Home >
  • Back Issues >
  • Laser Focus World >
  • Volume 56, Issue 05
  • Volume 56, Issue 05

    More content from Volume 56, Issue 05

    FIGURE 1. A single shot of the terahertz time-domain waveform is shown with a 120 ps time window (a). The inset magnifies the time trace indicating a signal-to-noise ratio (SNR) of >100 with a root-mean-squared (RMS) noise value of 0.013 at 100 µs measurement time without averaging. The Fourier transform of the terahertz time-domain waveform (b) shows >30 dB dynamic range in spectral power.
    Efficient terahertz generation and high-speed asynchronous optical sampling enable 10,000 pixel-per-second spectroscopic imaging with >100 signal-to-noise ratio.
    May 19, 2020
    (Image credit: Bar-Ilan University)
    The cladding-mode fiber-optic sensor is demonstrated, in which the strength of coupling between core and cladding mode is shown as a function of position along 2 m of a bare standard fiber and fine-tuning of the optical frequency of a readout probe wave (a). Most of the fiber is kept in air; the frequency of strongest coupling at that point is noted as zero for convenience. Two short sections of fiber, each 8 cm long, are immersed in ethanol and water (see legend at the top of the panel); the two sections stand out. The frequencies of core-cladding coupling are offset by 3 GHz and 2 GHz, respectively, in agreement with calculations. The (b) image is the same as (a), but with the ethanol allowed to evaporate. The frequency of coupling at that point returns to its baseline value of the fiber in air. Measured (red) and calculated (blue) discrete spectra of coupling from the core mode to a series of different cladding modes (c).
    Instead of depending on fixed-position fiber Bragg gratings, core-launched laser light can couple to the cladding modes of standard fiber through Brillouin dynamic gratings and...
    May 19, 2020
    Using a femtosecond laser, waveguides have been written into the bulk of SiC; modal properties can be tailored by altering the writing parameters.
    May 19, 2020
    (Image credit: Technical University of Darmstadt)
    The experimental setup (a) for the ghost communication demonstration exploits polarization correlations of unpolarized thermal light from an EDFA; unpolarized light is visualized by the Poincaré sphere with the dynamics of the instantaneous Stokes vector (b, red dots). The realized proof-of-principle communication between Bob and Alice is depicted by an encoding table for the “0” and “1” bits (c).
    Exploiting the infinite number of polarization states of unpolarized thermal light and their correlation properties leads to a new approach for secure data communications.
    May 19, 2020
    FIGURE 1. Spectra of sodium benzoate in a white polyethylene bottle in the standard Raman configuration (a), defocused laser excitation covering a larger-area, deeper into the sample (b), and with the reflective cavity of STRaman technology with much-enhanced signal over the larger area and depth beneath the surface (c).
    Collinear laser excitation and Raman scattering collection enables measurement of samples inside of packaging to increase field safety.
    May 19, 2020
    FIGURE 1. Concept of the tapered double-clad fiber (T-DCF) laser amplifier.
    New fiber technology is poised to deliver multikilowatt power, ultrashort pulse durations, repetition rates up to 1 GHz, and high beam quality in a small package.
    May 19, 2020
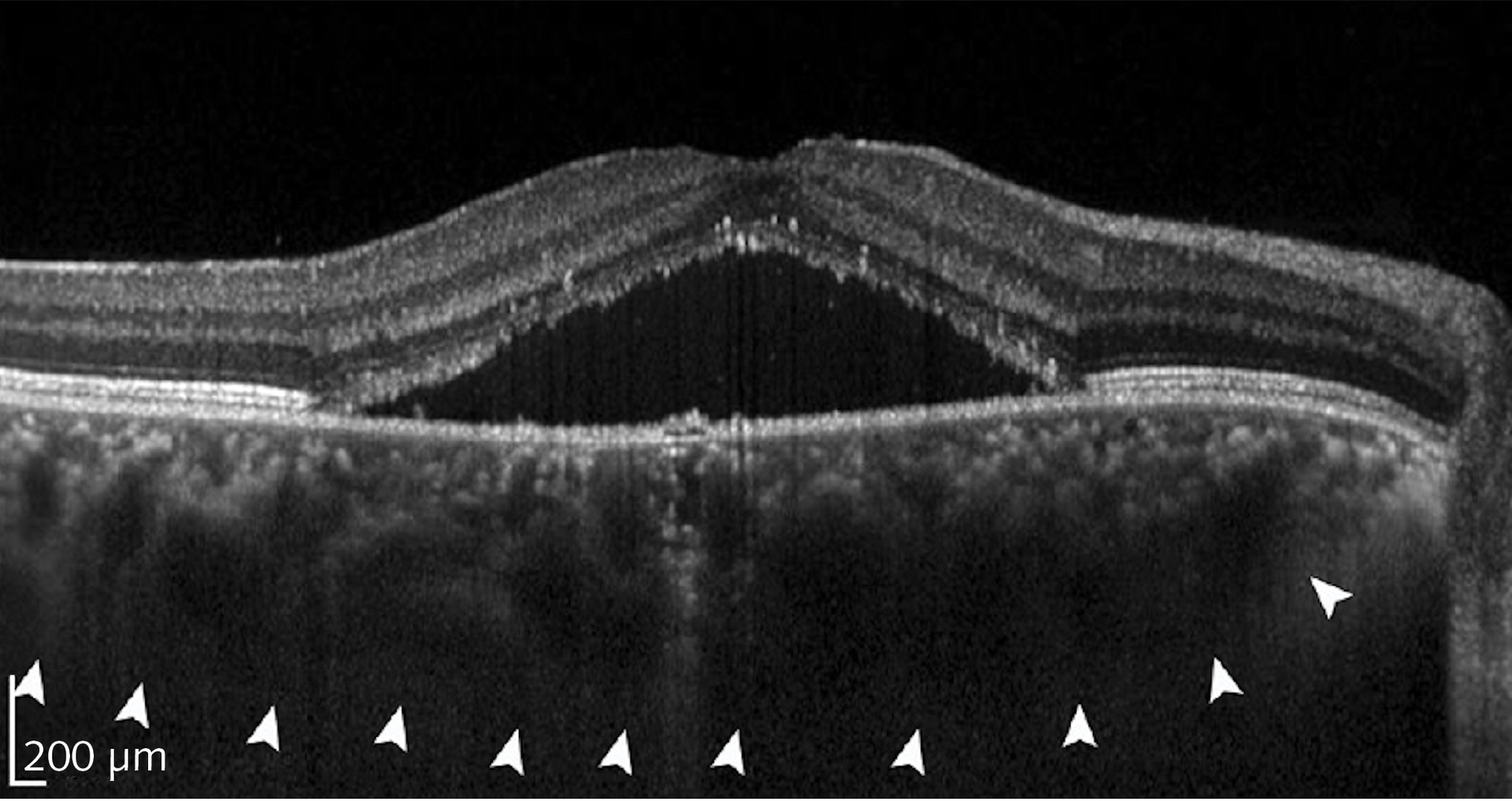
    (Image credit: J. Chhablani and G. Barteselli; Creative Commons Attribution-Share Alike 3.0 Unported license)
    OCT images, such as this one displaying signs of chorioretinopathy, contain anatomical insights into abnormal conditions; artificial intelligence (AI) can help mine clinical images to assist in diagnosis.
    Deep learning is used to segment ophthalmic OCT images in order to recognize the tear meniscus of the human eye.
    May 19, 2020
    Arianna M. Charbon, Kazuhiro Morimoto, Edoardo Charbon
    A megapixel photon-counting camera is based on single-photon avalanche diode (SPAD) image sensors. The new camera can capture images in faint light at unprecedented speeds.
    The megapixel SPAD array has max photon detection probability of 27% and a median dark-count rate of 2 counts/s.
    April 16, 2020
    (Image credit: SIOM)
    Schematic of a spatiotemporal plasma-lens filter.
    A plasma-lens filter (STPLF) passes the highest-intensity temporal pulse portions and scatters the lower-intensity prepulse while providing spatial filtering.
    April 16, 2020
    Conard Holton2
    Innovation and leadership will be the keys to successful short- and long-term responses to the pandemic.
    April 14, 2020
    HZDR / Juniks
    A new photodetector is based on layers of metal-organic frameworks.
    An iron-based metal-organic semiconductor in thin-film form detects visible through near-IR radiation.
    April 12, 2020
    (Image credit: Macquarie University)
    This diamond Raman laser produced by researchers at Macquarie University is pumped with light at 1018 nm to produce a 1178 nm output, which is then frequency-doubled to the 589 nm yellow sodium line. Used to produce guide stars in the upper atmosphere for adaptive optical systems in large ground-based telescopes, such a laser can do so at higher efficiency than existing lasers.
    Emitting at the yellow sodium line, a diamond Raman laser could also enable more point-like guide stars to be generated through AO systems.
    April 3, 2020
    (Image credit: Chung-Ang University)
    A novel algorithm for orienting a vehicle-mounted camera with respect to the outside environment consists of feature projection and line-structure detection (part 1, center), determining the vanishing point along the direction of driving, and determining the two other perpendicular vanishing points (part 2, bottom).
    A fast camera-orientation estimation algorithm that pinpoints vanishing points could make self-driving cars safer.
    March 2, 2020