UC Davis researchers prove that iPhone plus ball lens equals useful microscope

Davis, CA--An iPhone has been very inexpensively transformed by researchers at the University of California, Davis into a microscope that could be useful for remote diagnoses.
Oct. 6, 2011
3 min read

Davis, CA--An iPhone has been very inexpensively transformed by researchers at the University of California, Davis (UC Davis) into a microscope that could be useful for remote diagnoses, as well as for science teaching; in addition, they have created an iPhone spectrometer. Of course, with an iPhone it is simple to transmit the resulting data anywhere in the world for further analysis. The team will present their findings at the Optical Society's (OSA) Annual Meeting, Frontiers in Optics (FiO) 2011, taking place in San Jose, CA Oct. 16-20.

1 mm ball lens

While the group is not the first to build a smartphone microscope, its version is about as inexpensive as one could get. Sebastian Wachsmann-Hogiu, one of the researchers says the group's first iPhone microscope prototype was based on a drop of water whose meniscus formed a lens: unfortunately, the lens evaporated rather quickly. Next up was a 1-mm-diameter ball lens stuck into a hole in a rubber sheet taped onto the phone: this had more staying power.

Due to the iPhone camera's 1.7-micron pixels, the resulting 5X microscope can resolve features to about 1.5 microns in size. Digital image processing lessens the effect of the severe spherical aberration of the ball lens. The software can also stitch small images together to make a bigger image.

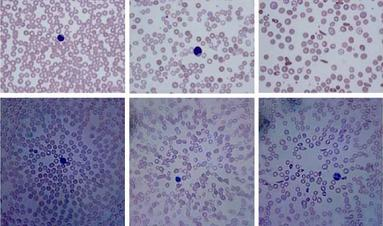
Wachsmann-Hogiu's team is working with UC Davis Medical Center to validate the device and determine how to use it in the field. They may also add features, such as larger lenses to diagnose skin diseases and software to count and classify blood cells automatically, aiding in diagnosing blood diseases.

Simple spectrometer

The researchers also created an iPhone spectrometer, with the added elements consisting of a short tube with its ends covered with pieces of tape with slits in them. Though the spectrometer is still in its early stages, the researchers believe it could measure the amount of oxygen in the blood and help diagnose chemical markers of disease.

The presentation, "Microscopy and Spectroscopy on a Cell Phone," by Kaiqin Chu, Zachary J. Smith, Alyssa R. Espenson, Denis Dwyre, Stephen Lane, Dennis Matthews, and Sebastian Wachsmann-Hogiu of the Center for Biophotonics, University of California, Davis, Medical Center, Sacramento, Calif. will take place Wednesday, Oct. 19 at 12 p.m. at the Fairmont San Jose Hotel.

(Note from the editor: I personally own an Android phoneand I'll bet that my phone could also be made into a microscope. If only I had a ball lens . . . John Wallace)

About the Author

John Wallace

Senior Technical Editor (1998-2022)

John Wallace was with Laser Focus World for nearly 25 years, retiring in late June 2022. He obtained a bachelor's degree in mechanical engineering and physics at Rutgers University and a master's in optical engineering at the University of Rochester. Before becoming an editor, John worked as an engineer at RCA, Exxon, Eastman Kodak, and GCA Corporation.

Sign up for our eNewsletters
Get the latest news and updates

Voice Your Opinion!

To join the conversation, and become an exclusive member of Laser Focus World, create an account today!