Confocal microscopy shows which dietary cholesterols complicate diabetes
Seeking to understand how elevated blood levels of sugar, cholesterol, and fat may contribute to blood vessel damage in relation to the diet in those with diabetes, researchers at Brigham and Women's Hospital set out to determine which dietary components of the Western diet may worsen diabetes complications. Using a confocal microscopy method, the research team examined the effects of different dietary fats on the earliest molecular signs of retinal inflammation and damage in an experimental rodent model of type 1 diabetes.
"Solid information about the effects of nutrition on disease development or progression is a rarity, but foundational work in preclinical models can help set the stage for clinical implications," says Ali Hafezi-Moghadam, MD, Ph.D., Director of the Molecular Biomarkers Nano-Imaging Laboratory at Brigham and Women's Hospital and Associate Professor of Radiology at Harvard Medical School, and a corresponding author of the published study. "We want to understand who is at risk for diabetic retinopathy and what dietary steps can be taken to slow down disease progression, but to take those steps, we must first understand the effects and interplay of the various components of diet."
To do so, the team used an established rat model of type 1 diabetes, known as streptozotocin (STZ)-diabetic rats. This model is characterized by the inability to produce insulin and by elevated levels of sugar and fat in the blood. The research team generated high-fat diets with varying fatty acid compositions, moderate amounts of carbohydrates, and no sugars to tease out the effects of specific dietary components on the diabetic vascular damage. The team fed these diets to the STZ-diabetic rats and then examined the accumulation of immune cells and other related readouts in the retinal blood vessels.
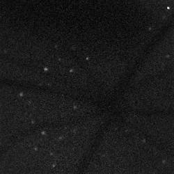
To examine the rat retina, the team used a previously developed, nanoprobe-based molecular imaging technique. The nanoprobes injected into the bloodstream of the rats targeted specific molecules to which immune cells bind in the retina. Using laser-scanning confocal microscopy in live animals, the team produced images from the rats' retinas that visualized the accumulation of the nanoprobes. Hafezi-Moghadam likens the image of the brightly fluorescing nanoprobes in the retina to a "starry sky" at night, where "the number of stars tells us a whole lot about the condition of the retina."The investigators found that neither high levels of saturated nor unsaturated fats increased retinal damage in this animal model, but that the combination of high levels of dietary cholesterol with specific saturated fatty acids that are abundant in the Western diet exacerbated the damage.
Elevated blood sugar (hyperglycemia) is a common symptom of type 1 and type 2 diabetes—however, the diseases have different mechanisms. Because diabetes complications in patients are often clinically observed after long exposure to hyperglycemia, the study of the mechanisms of complications in animal models has traditionally put less emphasis on the manner in which the animals develop hyperglycemia. The lab introduced and is currently developing a realistic model of type 2 diabetes known as the Nile Grass Rat. In the future, the team will leverage this model and explore the contributions of other dietary components to vascular damage in type 2 diabetes.
"This work lays the foundation for further examination of the relationship between levels of fat in the blood, dietary fats, and the development of diabetes complications," says Aliaa Barakat, Ph.D., a senior research scientist in the Molecular Biomarkers Nano-Imaging Laboratory at Brigham and Women's Hospital and lead author of the study. "Dietary carbohydrates and dietary fats have related and overlapping metabolic effects. Future experiments are warranted across a spectrum of hormonal changes characteristic of treated type 1 diabetes and treated and untreated type 2 diabetes. Subsequent work will also address mechanisms behind our findings involving the interaction between dietary sugar, cholesterol, and saturated fatty acids."
Full details of the work appear in The FASEB Journal.

