Two-photon microscopy method speeds whole-brain mapping
Neuroscientists at Cold Spring Harbor Laboratory (CSHL; Cold Spring Harbor, NY) have developed a two-photon microscopy method that enables highly detailed anatomical images made of whole brains.
By automating and standardizing the process in which brain samples are divided into sections and then imaged sequentially at precise spatial orientations in two-photon microscopes, the team, led by associate professor Pavel Osten and consisting of scientists from his CSHL lab and the Massachusetts Institute of Technology (MIT; Boston, MA), has opened the door to making whole-brain mapping routine. The new technology should facilitate the systematic study of neuroanatomy in mouse models of human brain disorders such as schizophrenia and autism, says Osten.
The new technology, developed in conjunction with TissueVision (Cambridge, MA), is called serial two-photon tomography (STP tomography). As Osten explains, STP tomography achieves high-throughput fluorescence imaging of whole mouse brains via robotic integration of the two fundamental stepsâtissue sectioning and fluorescence imaging. In the team's paper, they report on the results of several mouse-brain imaging experiments, which indicate the uses and sensitivity of the new tool. They conclude that it is sufficiently mature to be used in whole-brain mapping efforts such as the ongoing Allen Mouse Brain Atlas project.
One set of experiments tested the technology at different levels of resolution. At 10x magnification of brain tissue samples, they performed fast imaging "at a resolution sufficient to visualize the distribution and morphology of green-fluorescent protein-labeled neurons, including their dendrites and axons," reports Osten.
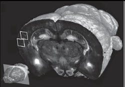
The team was able to obtain a full set of data, including final images, in 6.5 to 8.5 hours per brain, depending on the resolution. These sets each were comprised of 260 top-to-bottom, or coronal, slices of mouse brain tissue, which were assembled by computer into three-dimensional (3-D) renderings themselves capable of a wide range of "warping"âi.e., artificial manipulationâto reveal hidden structures and features.
The technology can be used for scanning at various levels of resolution, ranging from 1â2 µm to <1 µm, says Osten. Scans at the highest resolution level take about 24 hours to collect. Doing so saves an incredible amount of time, says Osten, compared to current methods in use. Using these, it would take an experienced technician about a week to collect a set of whole-brain images at high resolution, he notes.
The team is using the tool to study mouse models of human illness, says Osten. Their focus is on making comparisons between different mouse models of schizophrenia and autism. Doing so enabled them to identify many susceptibility genes in both disordersâincluding over 250 for autism spectrum disorders, for instance. Dr. Alea Mills at CSHL has published a mouse model of one genetic aberration in autism â a region on chromosome 16 â and soon we will have tens of models, each showing a different aberration.
This research was supported by grants from the Simons Foundation, the McKnight Foundation, the Howard Hughes Medical Institute, and the National Institutes of Health. For more information on the work, please visit http://www.nature.com/nmeth/journal/vaop/ncurrent/full/nmeth.1854.html.
-----
Follow us on Twitter, 'like' us on Facebook, and join our group on LinkedIn
Follow OptoIQ on your iPhone; download the free app here.
Subscribe now to BioOptics World magazine; it's free!

