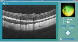
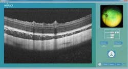
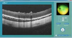
OCT software platform by Wasatch Photonics
The WP OCT software platform from Wasatch Photonics (Morrisville, NC) offers a suite of software development kits, sample GUIs, and turnkey application software to facilitateoptical coherence tomography (OCT)imaging speeds of up to 250 kHz, with the ability to customize user interface, algorithms, and analysis. It is available in C++, C#, Matlab, and Labview environments and is compatible with both Camera Link and USB 3.0 data acquisition protocols.
For more information, please visit wasatchphotonics.com.
