Infrared microscope could enable clinical digital biopsy
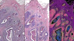
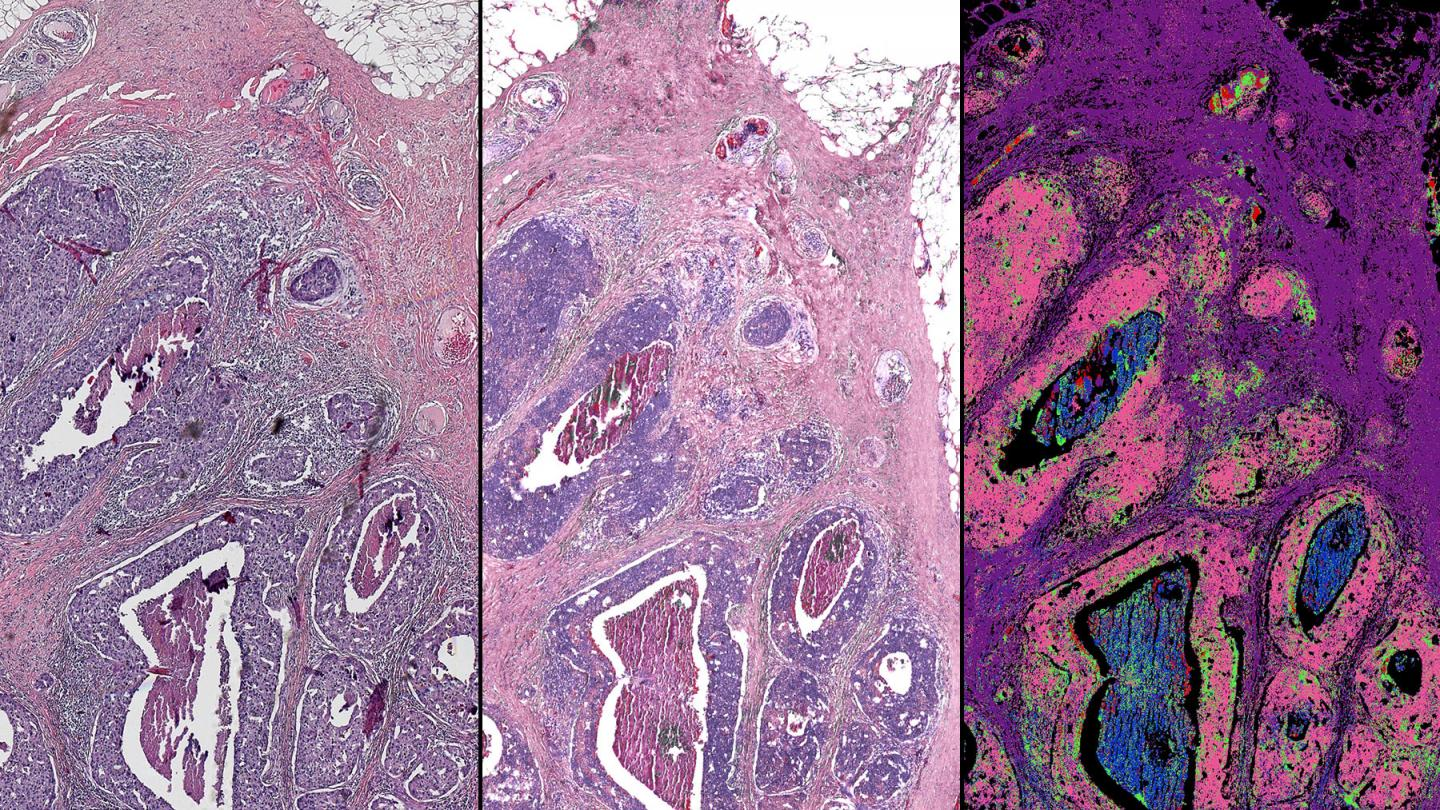
A team of researchers at the University of Illinois at Urbana-Champaign has added infrared (IR) capability to a standard optical microscope, with the goal of digital biopsy for cancer diagnosis. Pairing IR measurements with high-resolution optical images and machine learning algorithms, the researchers created digital biopsies that closely correlated with traditional pathology techniques and also outperformed state-of-the-art IR microscopes.
"The advantage is that no stains are required, and both the organization of cells and their chemistry can be measured," says Rohit Bhargava, a professor of bioengineering and the director of the Cancer Center at the University of Illinois at Urbana-Champaign, who led the work. "Measuring the chemistry of tumor cells and their microenvironment can lead to better cancer diagnoses and better understanding of the disease."
The gold standard of tissue pathology is to add dyes or stains so that pathologists can see the shapes and patterns of the cells under a microscope. However, it can be difficult to distinguish cancer from healthy tissue or to pinpoint the boundaries of a tumor, and in many cases diagnosis is subjective. The shape and color induced by the dye provide very limited information about the underlying molecular changes that drive cancer, Bhargava says.
Technologies like IR microscopy can measure the molecular composition of tissue, providing quantitative measures that can distinguish cell types. Unfortunately, though, IR microscopes are expensive and the samples require special preparation and handling, making them impractical for the vast majority of clinical and research settings.
Bhargava's group developed its hybrid microscope by adding an IR laser and an interference objective to an optical camera. The IR-optical hybrid measures both IR data and a high-resolution optical image with a traditional light microscope. Martin Schnell, a postdoctoral fellow in Bhargava's group and first author of the paper, adds that the group built the microscope using off-the-shelf components, which should allow others to easily build their own microscope or upgrade an existing microscope.
Combining the two techniques harnesses the strengths of both, the researchers say. It has the high resolution, large field of view, and accessibility of an optical microscope. Furthermore, IR data can be analyzed computationally without adding any dyes or stains that can damage tissues. Software can recreate different stains or even overlap them to create a more complete, all-digital picture of what's in the tissue.The researchers plan to continue refining the computational tools used to analyze the hybrid images. They are working to optimize machine-learning programs that can measure multiple IR wavelengths, creating images that readily distinguish between multiple cell types, and integrate that data with the detailed optical images to precisely map cancer within a sample. They also plan to explore further applications for hybrid microscope imaging, such as forensics, polymer science, and other biomedical applications.
Full details of the work appear in the Proceedings of the National Academy of Sciences.
Source: EurekAlert press release – February 12, 2020
Got biophotonics-related news to share with us? Contact Lee Dubay, Associate Editor, BioOptics World
Get even more news like this delivered right to your inbox

