MIIPS characterizes and corrects femtosecond pulses
MARCOS DANTUS, VADIM V. LOZOVOY, and IGOR PASTIRK
Because of their ultrashort pulse duration and efficiency at inducing nonlinear optical processes, femtosecond lasers are now widely applied in chemical, physical, biological, and medical research. If recent patent activity is an indication, they will become the cornerstone of several applications, such as micromachining, metrology, and surgery. Unlike other laser systems, femtosecond lasers are sensitive to the frequency dependence of the group velocity of light when propagating through any medium. Therefore, applications requiring femtosecond lasers depend on accurate compensation of dispersion effects. Industrial, as well as clinical, applications require that all lasers consistently deliver identical pulses to the target to ensure reproducibility. Pulse characterization and automated compensation make this possible.
The duration of an ultrashort laser pulse—only a few optical cycles in length—is limited by its bandwidth and the degree to which all its frequencies are in phase. The generation of such bandwidth-limited pulses depends on how accurately phase distortions, caused inside and outside the laser, can be measured and corrected. A new method, based on a programmable pulse shaper, is changing the decades-old autocorrelation paradigm and providing high-accuracy pulse characterization without interferometry.1, 2, 3
Analogous to the Wheatstone Bridge in electronics (which measures an unknown resistance by comparing it to known resistances), the new method uses a calibrated phase function to directly measure the unknown phase distortions. Once measured, these distortions are removed. The entire hands-off process yields bandwidth-limited pulses within seconds and without moving parts. This new development responds to the needs of an increasing number of industrial and clinical applications of femtosecond laser systems.
A paradigm shift in pulse characterization
Pulse characterization is essential for understanding, predicting, and controlling laser-matter interactions. Since the days of picosecond lasers, it has been accepted that pulse characterization requires time correlation between similar pulses, because ultrashort pulses exceed the bandwidth achievable with electronics. Therefore, the goal of pulse-characterization methods has been to measure a time correlation (sometimes frequency resolved) to retrieve by approximation the phase distortions in the pulse. Traditional time correlation requires the pulses from two or more arms of an interferometer to be overlapped in space and time at a nonlinear crystal with micrometer precision. The new technology described here, called multiphoton intrapulse-interference phase scan (MIIPS), measures the phase distortions in the frequency domain directly, without the need for time correlation. Because it is a single-beam method, MIIPS requires no interferometer and no overlapping beams, which translates into added flexibility, accuracy, and robustness in the presence of noise.
In one example, ocular dispersion is measured across a 300 nm bandwidth using MIIPS; the accuracy of the resulting phase measurements rivals that achieved using white-light interferometry (see Fig. 1). This capability, coupled with automated phase-distortion compensation, opens the door to medical imaging and surgical applications.
MIIPS uses a pulse shaper that introduces a calibrated reference phase function to measure spectral phase distortions (see Fig. 2). The phase dependence of nonlinear optical processes such as second-harmonic generation (SHG) is used by the algorithm to directly measure the second derivative of the phase, without the need for inversion algorithms. As the reference phase is scanned, a MIIPS trace is obtained and the phase is calculated. This phase is used to compensate the pulse to achieve bandwidth-limited pulses. The entire fully automated process is completed with unprecedented accuracy.Single-beam setup and flexibility
The pulse shaper, which manipulates the spectral phase of the laser in the frequency domain, uses a programmable spatial-light modulator capable of introducing phase retardation at specific spectral regions. In principle, pulse shapers can compensate any accurately measured spectral phase distortion. However, not all methods used to measure spectral phase are accurate enough, and communication between the pulse shaper and the pulse-characterization equipment is required. In this sense, MIIPS represents a seamless integration of a pulse shaper that is used for the accurate characterization and compensation of spectral phase distortions and a femtosecond laser.
MIIPS has been demonstrated not only with a thin SHG crystal, but also using surface-SHG from a silicon wafer, from KDP (potassium dihydrogen phosphate) powder located approximately 30 m from the laser (a demonstration of standoff pulse characterization), and from third-harmonic generation (THG) in air. In all three cases, distortions below 0.1 rad are obtained across the bandwidth of the pulse without the expense and bandwidth restrictions of SHG crystals (see Fig. 3).When using an amplified-laser system, MIIPS can provide optimization of the amplified output without risk of optical damage to the shaper or loss in power by placing the pulse shaper between the oscillator and amplifier. This strategy can therefore be used with the highest intensity femtosecond systems being used to generate attosecond pulses, or to study nuclear fusion.
Toward a universal light source
Consider a pulse lasting a single optical cycle. Because of the uncertainty principle, its bandwidth is extremely broad. Via two-, three-, and higher multiphoton excitation, this pulse would be able to reach transitions at very short wavelengths—essentially, the high-frequency end of the spectrum. Similarly, optical rectification—a process analogous to difference-frequency generation-would allow such a pulse to cause excitation anywhere in the low-frequency end of the spectrum. Such a pulse would provide a universal light source capable of providing energy almost anywhere in the electromagnetic spectrum. Achieving this is only possible with strict measurement and control of the phases of all the frequencies within its fundamental bandwidth.
The shortest pulse corrected to date using MIIPS has a pulse duration of 4.6 fs, or only two optical cycles. The phase-corrected output, when focused on a 10-µm-thin SHG crystal, generated UV pulses with a spectrum spanning 200 nm. The significance of this result—the broadest SHG spectrum ever recorded—is that all phase distortions limiting the bandwidth that can be upconverted were removed using MIIPS. Efforts to generate a single-cycle fully compensated pulse are under way.
Applications of this technology
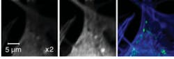
Two-photon microscopy is one of many applications that benefits substantially from compensation of phase distortions. High-numerical-aperture objectives introduce significant quadratic phase distortion, or group-velocity dispersion (GVD), third-order dispersion (TOD), and higher-order phase distortions. Prism-based solutions eliminate GVD; however, they introduce significant TOD. The difference between GVD-only correction and MIIPS compensation of high-order phase distortions is significant (see Fig. 4). Full correction ensures the brightest image possible with the highest signal-to-noise ratio.4Phase distortions can interfere with imaging by suppressing two-photon excitation. However, MIIPS ensures consistent imaging by correcting the phase distortions introduced by any objective automatically. The process is robust, fully automated, has no moving parts, and can handle any order phase distortion. After compensation, one can introduce specific phase functions that induce selective two-photon excitation from stained subcellular organelles (see Fig. 4), minimizing photobleaching and the need for fluorescence filters. This novel application has been recently used for selective excitation through biological tissue.
While femtosecond laser pulses are answering the needs of homeland security, pharmacology, and medicine, they are also being used for advanced molecular identification. The high-power density of the femtosecond pulse can be used to excite transitions or ionize and fragment the molecules of interest, thereby obtaining a mass spectrum, which functions as a fingerprint. Accurate pulse shaping using MIIPS can enhance the spectrum obtained in a manner that reveals minute differences between molecules, including isomers and even some stereoisomers.
By ensuring that every laser system delivers reproducible laser pulses, MIIPS is taking ultrashort laser-matter interactions to a whole new level. The MIIPS technology and its applications are patented and have been licensed exclusively by BioPhotonic Solutions. Through a strategic collaboration between BioPhotonic Solutions and Coherent (Santa Clara, CA), the MIIPS technology is now available to the R&D community. The Silhouette ultrafast pulse shaper includes the MIIPS engine and has already been installed in some of the most prestigious research institutions in the United States, Canada, England, Korea, and Germany. At Photonics West 2007, the combination of Silhouette and a Legend Elite USP system produced 3.3 mJ pulses with a 26 fs duration at 1 kHz. We anticipate a wider deployment of this technology as its potential becomes more widely recognized.
REFERENCES
1. B. Xu et al., J. Optical Society of America B 23, 750 (2006).
2. I. Pastirk et al., Optics Express 14, 9537 (2006).
3. D.A. Harris et al., Optics Express 15, 1932 (2007).
4. L. Schelhas et al., Nanomedicine 2, 177 (2006).
Marcos Dantus is a professor at Michigan State University, East Lansing, MI 48824, and the president of BioPhotonic Solutions, 3590 Breezy Point Drive, Okemos, MI, 48864; Vadim V. Lozovy is a research professor at Michigan State University; and Igor Pastirk is the CTO of BioPhotonic Solutions; e-mail: [email protected]; www.biophotonicsolutions.com.



